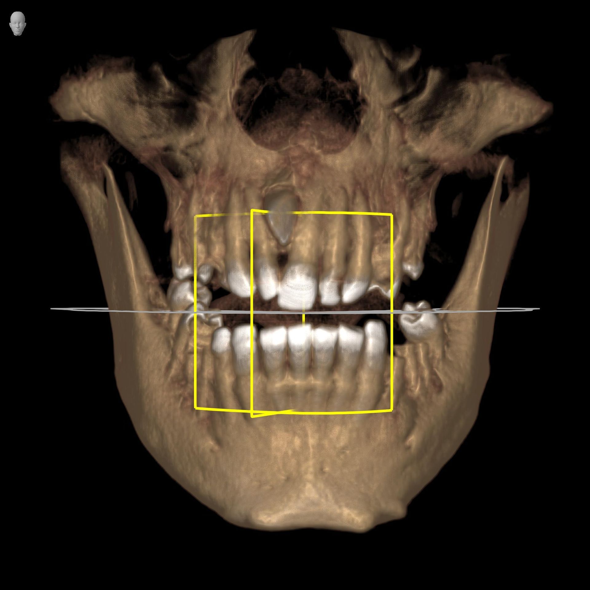
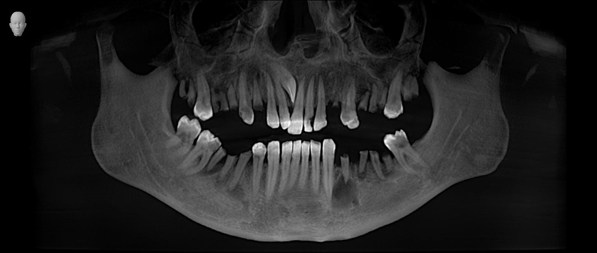
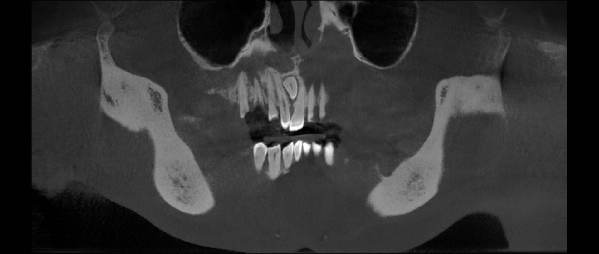
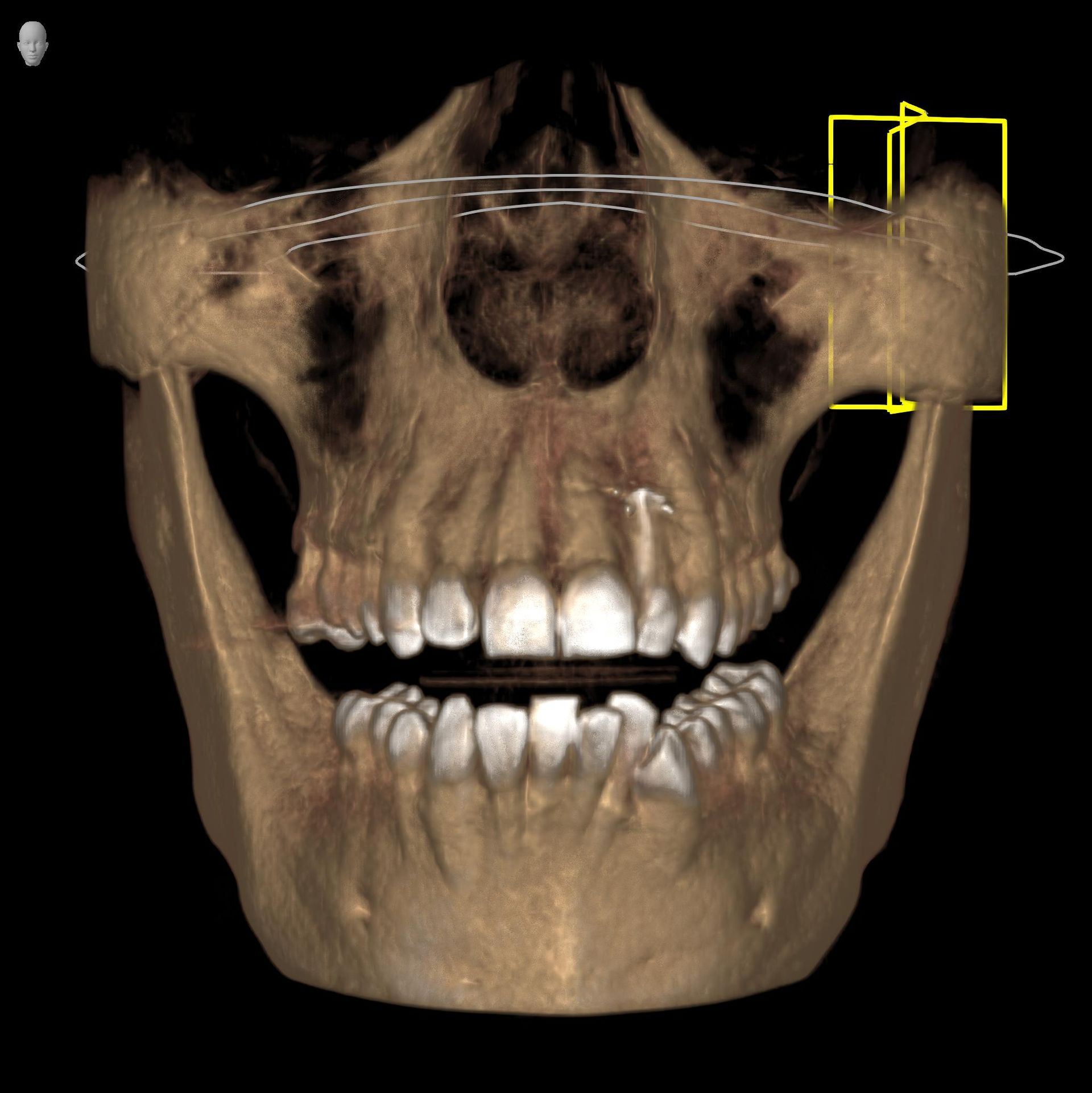
Dentalscan 3D-TC Cone Beam
Esame diagnostico che permette di valutare, con precisione, la densità ossea mascellare e mandibolare, richiesto dai dentisti, in quanto indispensabile prima di un intervento di implantologia. 
Trova indicazione anche in ortodonzia per lo studio dei denti inclusi, soprannumerari ed ectopici e in endodonzia.
La nostra struttura utilizza un’apparecchiatura radiologica di ultima generazione (Sirona Orthophos SL 3 D), che permette, in un’unica soluzione, di effettuare esami di arcate dentarie, cefalometrici e volumetrici 3 D). 
Il nuovo sensore, a conversione diretta, garantisce precisione, con immagini più nitide, dettagliate e a bassissima emissione di raggi X (da 5 a 20 volte inferiore rispetto alla TC tradizionale); con bassissima dose per il paziente; quindi molto adatta ai pazienti più piccoli. 
La funzione 3D, permette la visualizzazione completa delle strutture dentarie, ossee, in tre dimensioni, con ottima risoluzione di contrasto per lo studio dei tessuti molli. 

 
  
  
  
  
  
  
  
  
  
  
  
 










